Menu
USG ślinianek
USG stawu barkowego
USG stawu skokowego
USG stawu łokciowego
USG ścięgna Achillesa
USG stawu kolanowego
Najczęstszym powodem do wykonania pogłębionej diagnostyki stawu kolanowego jest jego ból. Wyróżnia się setki jednostek chorobowych, w których objawem dominującym jest ból w stawie kolanowym. Stanowi wspólną komponentę chorób z pogranicza kilku specjalizacji takich jak ortopedia z traumatologią, reumatologia, onkologia czy chirurgia naczyniowa. USG jest badaniem, które pomaga ustalić pochodzenie bólu i przybliżyć trafną diagnozę, tym samym sprawnie rozpocząć proces leczniczy lub rehabilitacyjny.
U dzieci i młodych osób bóle stawów kolanowych są najczęściej wynikiem urazów związanych z aktywnością sportową. W zawodowym uprawianiu ustalone są obowiązkowo treningi rozgrzewające struktury stawowe, przystosowując je do zwiększenia wysiłku fizycznego. Natomiast przed amatorsko-rekreacyjnymi aktywnościami bardzo często zapomina się o odpowiednim przygotowaniu, stąd wiele nieprzewidzianych uszkodzeń narządu ruchu, w szczególności stawu kolanowego. Czynnościowo składa się z dwóch biomechanicznych elementów: większego stawu udowo-piszczelowego i mniejszego stawu rzepkowo-udowego. Najliczniejszą grupą obrażeń są skręcenia kolana, czyli nadmierny niefizjologiczny ruch w stawie. Efektem może być uszkodzenie jednej lub większej liczby jego struktur stabilizujących. Należą do nich przede wszystkim 4 więzadła: 2 wewnątrzstawowe (krzyżowe przednie i tylne) i 2 zewnątrzstawowe (poboczne piszczelowe i strzałkowe). Bardzo ważną rolę stabilizująca maja a także łąkotki.
W zależności od kierunku, wielkości i rozkładu sił działających podczas urazu, obserwujemy dużą różnorodność uszkodzeń łąkotek, kości, chrząstki i więzadeł. Często dają podobne dolegliwości, wymagające stosownych badań obrazowych, w tym usg. Podczas biegania po nierównym terenie lub przy pokonywaniu przeszkód dochodzi do naciągnięcia przyczepów więzadeł pobocznych oraz zwiększenia przyparcia rzepki do uda. Pacjent z urazem więzadłowym może odczuć „trzask” w kolanie, często występuje ograniczenie ruchu i chwiejność przy postawieniu kroku. Brak jest objawów niestabilności i cech wysięku, natomiast skręcenie lekko ugiętego kolana powoduje ból. W badaniu USG widoczny jest obrzęk w okolicy przyczepów więzadeł, bez przerwania ich ciągłości. Uszkodzenia łąkotek występują częściej w sportach zawodowych. Dochodzi do nich podczas nagłych skręceń kolana przy ustabilizowanej stopie. U osób starszych diagnozujemy je częściej i mają one charakter zwyrodnieniowy. Uszkodzona łąkotka powoduje ból przy ruchach skrętnych ugiętego kolana. Może dawać poczucie bolesnego przeskakiwania, do blokowania włącznie. W urazach tych często obserwuje się wysięki.
- Płyn w stawie kolanowym (zachyłek nadrzepkowy)
- Pozioma szczelina pęknięcia w łąkotce przyśrodkowej
Ale w grupie osób młodych występują również choroby zapalne połączone z obrzękami i wysiękami w stawach. Młodzieńcze idiopatyczne zapalenie stawów jest chorobą układową o nieznanej etiologii, której istotą jest przewlekły proces zapalny uszkadzający chrząstkę stawową i nasady kostne. Może występować u dzieci w każdym wieku, a jej przebieg jest różnorodny. Początkowo mogą to być wyłącznie skargi na bóle nóg po dłuższym spacerze, niechęć do wczesnego wstawania do szkoły lub przedszkola, bóle nocne powszechnie traktowane jako bóle wzrostowe. Niechęć do odrabiania prac domowych może wynikać z obecności dyskretnych obrzęków, a nie z lenistwa. Utrzymujące się stany podgorączkowe powinny skłonić rodziców do rozważenia wizyty u pediatry. Opisane objawy są tak powszechne, że mogą zostać łatwo zbagatelizowane.
U osób starszych dominuje etiologia zwyrodnieniowa, której istotą jest zaburzona równowaga pomiędzy procesami niszczenia i odbudowywania chrząstki stawowej. Najczęściej w sutek przeciążeń i złego trybu życia, chrząstka nie ma optymalnych warunków do odbudowy. Kiedy zaczynają przeważać procesy niszczenia pojawia się choroba zwyrodnieniowa. W konsekwencji szpara stawowa zostaje zwężona a na krawędziach kostnych postępuje nadbudowa kostna z wytworzeniem osteofitów.

Znacznego stopnia zwężenie przyśrodkowego przedziału stawu kolanowego
z widocznymi osteofitami na krawędziach kości udowej i piszczelowej.
Niezależnym czynnikiem ryzyka choroby zwyrodnieniowej jest płeć żeńska. Istotnym stymulantem procesu zwyrodnieniowego w stawie kolanowym są przebyte urazy i otyłość. Zwyrodnienie stawów kolanowych można podzielić według lokalizacji uszkodzeń chrząstki. Wyróżnia się postać przyśrodkową (najczęstszą), rzepkowo-udową i boczną.

Chrząstka szklista na powierzchni kłykcia bocznego kości udowej – prawidłowa po stronie lewej, z cechami znacznego zwyrodnienia po stronie prawej.
Niezależnie od rodzaju przeważających zmian, choroba zwyrodnieniowa wywołuje szereg charakterystycznych dolegliwości. Typowym objawem są tzw. bóle pierwszych ruchów i przy obciążeniu stawu. Po okresie spoczynku następuje uczucie sztywności, które zwykle nie przekracza pół godziny. Powyższe dolegliwości ujawniają się zazwyczaj podczas wstawania z nisko ustawionych krzeseł i foteli. Bóle pojawiające się w czasie schodzenia po schodach i uczucie blokowania, wskazują na zajęcie stawu rzepkowo-udowego.
W przeciwieństwie do zmian zwyrodnieniowych, chorobą wymagającą ścisłej współpracy pacjenta z lekarzem reumatologiem jest reumatoidalne zapalenie stawów (RZS). Cechą charakterystyczną jest przewlekły stan zapalny stawów, najczęściej dotykający w sposób symetrycznych małe i średnie stawy. Proces rozpoczyna się od wewnętrznej strony stawu i jako aktywny może zostać zobrazowany pod postacią przekrwienia błony maziowej. Choroba postępuje dalej niszcząc chrząstkę powodując zwężenie szpary stawowej. Następnie proces zapalny dociera do granicy chrzęstno-kostnej powodując nieodwracalne zmiany pod postacią ubytków kostnych, zwanych nadżerkami.
W konsekwencji prowadzi to do trwałych zwyrodnień i zniekształceń stawów. Badanie USG wykorzystywane jest coraz częściej w diagnostyce RZS, gdyż dostarcza informacji na długo wcześniej od objawów prezentowanych na klasycznym zdjęciu rentgenowskim i badaniu tomograficznym. Dzięki głowicom o wysokiej częstotliwości, badanie USG pozwala na jakościową ocenę przerostu błony maziowej wraz z oszacowaniem jej aktywności zapalnej w badaniach dopplerowskich oraz dokładne obejrzenie powierzchni stawowych pod kątem wykrycia nadżerek. W przypadku pacjentów ze stwierdzonym i leczonym RZS należy podkreślić nieocenioną rolę badania USG z funkcją dopplerowską. Pozwala ona bowiem potwierdzić lub ocenić stopień aktywności choroby, ale także wcześnie wykazać zaostrzenie choroby, jeszcze zanim dojdzie do pojawienia się typowych, klinicznych objawów zaostrzenia.
Znacznego stopnia przerost błony maziowej w zachyłku nadrzepkowym z widocznymi wzmożonymi echami przepływów w badaniu Power Doppler – aktywny proces zapalny w przebiegu RZS.
dr n. med. Cyprian Wolski
specjalista radiologii i diagnostyki obrazowej
Centrum USG Diagnotiq
USG Ortopedyczne Skierniewice
USG ortopedyczne to bezpieczne i bezinwazyjne badanie diagnostyczne chorób i nieprawidłowości w układzie mięśniowo-szkieletowym. Dzięki temu badaniu możliwe jest określenie charakteru zmian zarówno w ostrych stanach pourazowych, jak i w przewlekłych schorzeniach, jest także pomocne w ocenie efektów leczenia operacyjnego. USG ortopedyczne najczęściej dotyczy stawu kolanowego i jego okolic, stawu biodrowego oraz stawu skokowego wraz ze stopą.
Badanie USG ortopedyczne w Skierniewicach jest całkowicie bezbolesne i nie ma przeciwwskazań do wielokrotnego jego wykonania. Jest przeprowadzane w pozycji wygodnej dla pacjenta – zazwyczaj leżącej. Nie różni się ono za bardzo niczym od innych USG – lekarz smaruje skórę badanego żelem bazującym na wodzie i przesuwa aparat po skórze, jednocześnie obserwując obraz na monitorze. Dzięki temu lekarz jest w stanie od razu ocenić badany organ i podjąć decyzję w sprawie dalszego postępowania. Po zakończonym badaniu pacjent dostaje pełen wydruk wraz z opisem i zdjęciami.
Jeśli pragniesz oceny efektów leczenia operacyjnego lub mierzysz się z różnymi nieprzyjemnościami (np. bólem i obrzękami stawów i mięśni, stanami zapalnymi – pourazowymi, zmianami patologicznymi takimi jak guzy) – koniecznie umów się na badanie USG w Centrum Diagnostycznym Diagnotiq!
Centrum badań DIAGNOTIQ Skierniewice, 96-100 Skierniewice, ul. Sienkiewicza 1, (budynek Przychodni Lekarskiej “Medyk”)
Rejestracja dr. Wolski: 501 393 828
USG stawu kolanowego
Najczęstszym powodem do wykonania pogłębionej diagnostyki stawu kolanowego jest jego ból. Wyróżnia się setki jednostek chorobowych, w których objawem dominującym jest ból w stawie kolanowym. Stanowi wspólną komponentę chorób z pogranicza kilku specjalizacji takich jak ortopedia z traumatologią, reumatologia, onkologia czy chirurgia naczyniowa. USG jest badaniem, które pomaga ustalić pochodzenie bólu i przybliżyć trafną diagnozę, tym samym sprawnie rozpocząć proces leczniczy lub rehabilitacyjny.
U dzieci i młodych osób bóle stawów kolanowych są najczęściej wynikiem urazów związanych z aktywnością sportową. W zawodowym uprawianiu ustalone są obowiązkowo treningi rozgrzewające struktury stawowe, przystosowując je do zwiększenia wysiłku fizycznego. Natomiast przed amatorsko-rekreacyjnymi aktywnościami bardzo często zapomina się o odpowiednim przygotowaniu, stąd wiele nieprzewidzianych uszkodzeń narządu ruchu, w szczególności stawu kolanowego. Czynnościowo składa się z dwóch biomechanicznych elementów: większego stawu udowo-piszczelowego i mniejszego stawu rzepkowo-udowego. Najliczniejszą grupą obrażeń są skręcenia kolana, czyli nadmierny niefizjologiczny ruch w stawie. Efektem może być uszkodzenie jednej lub większej liczby jego struktur stabilizujących. Należą do nich przede wszystkim 4 więzadła: 2 wewnątrzstawowe (krzyżowe przednie i tylne) i 2 zewnątrzstawowe (poboczne piszczelowe i strzałkowe). Bardzo ważną rolę stabilizująca maja a także łąkotki.
W zależności od kierunku, wielkości i rozkładu sił działających podczas urazu, obserwujemy dużą różnorodność uszkodzeń łąkotek, kości, chrząstki i więzadeł. Często dają podobne dolegliwości, wymagające stosownych badań obrazowych, w tym usg. Podczas biegania po nierównym terenie lub przy pokonywaniu przeszkód dochodzi do naciągnięcia przyczepów więzadeł pobocznych oraz zwiększenia przyparcia rzepki do uda. Pacjent z urazem więzadłowym może odczuć „trzask” w kolanie, często występuje ograniczenie ruchu i chwiejność przy postawieniu kroku. Brak jest objawów niestabilności i cech wysięku, natomiast skręcenie lekko ugiętego kolana powoduje ból. W badaniu USG widoczny jest obrzęk w okolicy przyczepów więzadeł, bez przerwania ich ciągłości. Uszkodzenia łąkotek występują częściej w sportach zawodowych. Dochodzi do nich podczas nagłych skręceń kolana przy ustabilizowanej stopie. U osób starszych diagnozujemy je częściej i mają one charakter zwyrodnieniowy. Uszkodzona łąkotka powoduje ból przy ruchach skrętnych ugiętego kolana. Może dawać poczucie bolesnego przeskakiwania, do blokowania włącznie. W urazach tych często obserwuje się wysięki.
- Płyn w stawie kolanowym (zachyłek nadrzepkowy)
- Pozioma szczelina pęknięcia w łąkotce przyśrodkowej
Ale w grupie osób młodych występują również choroby zapalne połączone z obrzękami i wysiękami w stawach. Młodzieńcze idiopatyczne zapalenie stawów jest chorobą układową o nieznanej etiologii, której istotą jest przewlekły proces zapalny uszkadzający chrząstkę stawową i nasady kostne. Może występować u dzieci w każdym wieku, a jej przebieg jest różnorodny. Początkowo mogą to być wyłącznie skargi na bóle nóg po dłuższym spacerze, niechęć do wczesnego wstawania do szkoły lub przedszkola, bóle nocne powszechnie traktowane jako bóle wzrostowe. Niechęć do odrabiania prac domowych może wynikać z obecności dyskretnych obrzęków, a nie z lenistwa. Utrzymujące się stany podgorączkowe powinny skłonić rodziców do rozważenia wizyty u pediatry. Opisane objawy są tak powszechne, że mogą zostać łatwo zbagatelizowane.
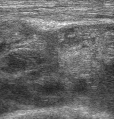
U osób starszych dominuje etiologia zwyrodnieniowa, której istotą jest zaburzona równowaga pomiędzy procesami niszczenia i odbudowywania chrząstki stawowej. Najczęściej w sutek przeciążeń i złego trybu życia, chrząstka nie ma optymalnych warunków do odbudowy. Kiedy zaczynają przeważać procesy niszczenia pojawia się choroba zwyrodnieniowa. W konsekwencji szpara stawowa zostaje zwężona a na krawędziach kostnych postępuje nadbudowa kostna z wytworzeniem osteofitów.

Znacznego stopnia zwężenie przyśrodkowego przedziału stawu kolanowego
z widocznymi osteofitami na krawędziach kości udowej i piszczelowej.
Niezależnym czynnikiem ryzyka choroby zwyrodnieniowej jest płeć żeńska. Istotnym stymulantem procesu zwyrodnieniowego w stawie kolanowym są przebyte urazy i otyłość. Zwyrodnienie stawów kolanowych można podzielić według lokalizacji uszkodzeń chrząstki. Wyróżnia się postać przyśrodkową (najczęstszą), rzepkowo-udową i boczną.
- Chrząstka szklista na powierzchni kłykcia bocznego kości udowej – prawidłowa
- Chrząstka szklista z cechami znacznego zwyrodnienia
Niezależnie od rodzaju przeważających zmian, choroba zwyrodnieniowa wywołuje szereg charakterystycznych dolegliwości. Typowym objawem są tzw. bóle pierwszych ruchów i przy obciążeniu stawu. Po okresie spoczynku następuje uczucie sztywności, które zwykle nie przekracza pół godziny. Powyższe dolegliwości ujawniają się zazwyczaj podczas wstawania z nisko ustawionych krzeseł i foteli. Bóle pojawiające się w czasie schodzenia po schodach i uczucie blokowania, wskazują na zajęcie stawu rzepkowo-udowego.
W przeciwieństwie do zmian zwyrodnieniowych, chorobą wymagającą ścisłej współpracy pacjenta z lekarzem reumatologiem jest reumatoidalne zapalenie stawów (RZS). Cechą charakterystyczną jest przewlekły stan zapalny stawów, najczęściej dotykający w sposób symetrycznych małe i średnie stawy. Proces rozpoczyna się od wewnętrznej strony stawu i jako aktywny może zostać zobrazowany pod postacią przekrwienia błony maziowej. Choroba postępuje dalej niszcząc chrząstkę powodując zwężenie szpary stawowej. Następnie proces zapalny dociera do granicy chrzęstno-kostnej powodując nieodwracalne zmiany pod postacią ubytków kostnych, zwanych nadżerkami.
W konsekwencji prowadzi to do trwałych zwyrodnień i zniekształceń stawów. Badanie USG wykorzystywane jest coraz częściej w diagnostyce RZS, gdyż dostarcza informacji na długo wcześniej od objawów prezentowanych na klasycznym zdjęciu rentgenowskim i badaniu tomograficznym. Dzięki głowicom o wysokiej częstotliwości, badanie USG pozwala na jakościową ocenę przerostu błony maziowej wraz z oszacowaniem jej aktywności zapalnej w badaniach dopplerowskich oraz dokładne obejrzenie powierzchni stawowych pod kątem wykrycia nadżerek. W przypadku pacjentów ze stwierdzonym i leczonym RZS należy podkreślić nieocenioną rolę badania USG z funkcją dopplerowską. Pozwala ona bowiem potwierdzić lub ocenić stopień aktywności choroby, ale także wcześnie wykazać zaostrzenie choroby, jeszcze zanim dojdzie do pojawienia się typowych, klinicznych objawów zaostrzenia.
dr n. med. Cyprian Wolski
specjalista radiologii i diagnostyki obrazowej
Centrum USG Diagnotiq
KONTAKT
Zapraszamy do gabinetu

96-300 Żyrardów
ul. Polskiej Organizacji Wojskowej 5

kom +48 698 823 447

kontakt@diagnostiq.pl
KONTAKT
Zapraszamy do gabinetu

96-300 Żyrardów
ul. Polskiej Organizacji Wojskowej 5

kom +48 698 823 447

kontakt@diagnostiq.pl










